Увеличение количества ликвора в полости черепа называется гидроцефалией (ГЦФ), или водянкой головного мозга.
Формы гидроцефалии: общая — увеличение содержания жидкости в желудочках мозга и САП, развивается ex vacuo при атрофии мозга (наблюдается при пресенильных психозах — болезни Пика и Альцгеймера); внутренняя (желудочковая) — избыточное содержание жидкости в желудочках; наружная — избыточное содержание жидкости в субарахноидальном пространстве головного мозга.
Внутреннюю (желудочковую) ГЦФ делят на: сообщающуюся (открытую) — без нарушения циркуляции ликвора между желудочками мозга и субарахноидальным пространством ; она может быть обусловлена повышением продукции ликвора (гиперсекреторная форма), замедлением его всасываемости (арезорбтивная форма) или сочетанием обоих факторов; окклюзионную (закрытую) — развивающуюся при наличии препятствия (воспалительной, опухолевой или другой этиологии) на пути оттока ликвора из желудочков в базальные цистерны и субарахноидальное пространство..
Сообщающаяся гидроцефалия (СГЦФ) обычно развивается после субарахноидального кровоизлияния, черепно-мозговой травмы, операций, менингеальных инфекций.Часто СГЦФ протекает без повышения или с незначительным повышением ВЧД (обычно в ночные часы), и ее называют ГЦФ нормального давления (ГЦФНД). Последняя в качестве самостоятельной формы была выделена только в 1965 г. S. Hakim и R. Adams.
Для ГЦФНД характерна триада Хакима—Адам-са: нарушения психики (снижение памяти, замедление реакции, апатия, снижение интеллекта), расстройства ходьбы и статики, недержание мочи.
Для уточнения диагноза используют компьютерную (КТ) или магнитно-резонансную томографию (МРТ), в некоторых случаях применяется пневмоэнцефалография (ПЭГ) и изотопную цистернография (ИЦГ), при необходимости в комбинации. С помощью КТ и ПЭГ выявляют расширение желудочков, базаль-ных цистерн, облитерацию конвекситальных САП, оценивают выраженность перивентрикулярного отека, ширину корковых борозд.
КТ-признаком СГЦФ является увеличение всех желудочков, включая IV. Для окклюзионной ГЦФ более характерна тривентрикулярная ГЦФ (расширение боковых и III желудочков при нормальных размерах IV желудочка) .
В качестве диагностической пробы для предсказания эффекта будущей операции при сообщающейся гидроцефалии проводится дренажный тест с выведением при люмбальной пункции порядка 40 мл ликвора. После чего оценивается клиническая картина и проводится определение мозгового кровотока до и после пробного выведения ликвора.
В настоящее время для хирургического лечения СГЦФ применяются различные варианты отведения ликвора из краниоспинальной полости с помощью клапанных систем. Среди используемых в настоящее время методов наиболее предпочтительным считается вентрикулоперитонеальное шунтирование, так как является более простым методом относительно вентрикулоатриального шунтирования и зарекомендовал свою эффективность. При данном виде операции периферический катетер проводят под кожей по передней поверхности грудной клетки до брюшной полости и погружают в нее.
В шунтирующей системе имеется клапан, обеспечивающий однонаправленный ток жидкости при возникновении избыточного (положительного) давления на проксимальном конце системы. Современные клапанные системы (например, DUAL-SWITCH VALVE или DIAMOND VALVE с саморегулирующимся устройством NEWTON SAFR) могут обеспечить адекватный отток ликвора вне зависимости от положения тела пациента.
Применяют клапанные системы высокого (100—150 мм вод. ст.), среднего (50—100 мм вод. ст.) и низкого давления (20—50 мм вод. ст.). Иногда выбор соответствующей системы определяется манометрическим измерением внутрижелудочко-вого давления во время операции. Но обычно при ГЦФНД используют клапаны среднего давления. Также в течение последнего десятилетия все чаще стали применяться шунтирующие системы с программируемым клапаном, когда степень сброса ликвора можно регулировать в послеоперационном периоде.

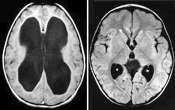
На левом слайде представлен пример внутренней гидроцефалии, на правом регресс гидроцефалии после проведенного шунтирования.